در حالی که بریس های سنتی تنها بر روی صاف کردن دندان ها تمرکز دارند، بریس های فانکشنال دارای رویکردی دوگانه هستند و برای بیمارانی که هدف اصلی شان درمان ارتوپدی است، مناسب می باشد. اولین هدف شامل بهبود راه تنفسی و کام (انسداد) بیمار می باشد. صاف کردن دندان ها از طریق ارتودنسی سنتی دومین هدف برای ارتودنسی فانکشنال می باشد.
✍دسترسی سریع
Toggleپلاک فانکشنال ارتودنسی ثابت یا متحرک قادرند مشکلات ارتودنسی دندان کودکان شما را پیش از رسیدن به سن بلوغ با هزینه کمتر و در مدت زمان کوتاه تری اصلاح کنند، این پلاک ها در اصطلاح ارتودنسی فانکشنال گفته می شود. این سیستم دندانپزشکی، یکی از بهترین روش ها برای برطرف کردن مشکلات شدید مال اکلوژن دندان است.
دستگاه ارتودنسی فانکشنال، از انواع دستگاه های ارتودنسی است که برای رفع ناهنجاری های استخوان فک در افراد مبتلا به کار می رود. هدف از دستگاه های ارتودنسی اصلاح بی نظمی های موجود در دهان و قرارگیری نامناسب دندان ها و رفع ناهنجاری های فکی می باشد.

دستگاه های فانکشنال دندان را می توان به 2 دسته ثابت و متحرک تقسیم کرد. استفاده از ارتودنسی فانکشنال ثابت و یا متحرک به وضعیت بیمار و تشخیص متخصص ارتودنسی بستگی دارد. فانکشنال دندان اجزایی دارد که روی قوس های دهانی ثابت می شوند؛ اما ارتودنسی متحرک فانکشنال (که رایج تر نیز هستند) ساختاری پلاستیکی دارد و توسط خود فرد در دهان نصب شده و یا برداشته می شوند.
بیشتر بخوانید 👈 ارتودنسی بزرگسالان
دستگاه ها فانکشنال انواعی دارند که عبارت اند از:
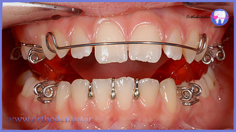
از دستگاه های فانکشنال ارتودنسی ثابت است و برای درمان اوربایت شدید که مانع رشد فک پایین فرد می شود، مورد استفاده قرار می گیرد. در این نوع دستگاهها، امکان حرکت دادن دستگاه توسط بیمار نیست؛ و به صورت ثابت، بر روی قوس داخلی دهان، دستگاه فانکشنال ثابت، قرار میگیرد.
برخلاف دستگاه هربست، بایونیتور یک دستگاه فانکشنال متحرک است که به منظور تصحیح و اصلاح اوربایت طراحی شده است. این دستگاه فانکشنال متحرک موجب افزایش رشد فک پایین فرد شده و بدین ترتیب مشکل اوربایت او را رفع می کند.

از دستگاه های فانکشنال ارتودنسی متحرک است، که زمینه هماهنگی بین فک بالا و پایین را در افراد مبتلا به این ناهنجاری فراهم می کند.
فرانکل نیز مانند بایونیتور و برخلاف دستگاه هربست، یک دستگاه فانکشنال متحرک و از جمله ابزارهای ارتودنسی متحرک برای درمان ناهنجاری های فک است. نحوه کار دستگاه فانکشنال دندان فرانکل در ارتودنسی متحرک فانکشنال با سایر دستگاه های فانکشنال متحرک مانند بایوناتور و اکتیویتور متفاوت است. این دستگاه فانکشنال متحرک مدل های متفاوتی داشته (فرانکل 1 تا 5) که هر یک برای ناهنجاری خاصی کاربرد دارد.
برای کمک به بهبود روند رشد فک پایین و تصحیح مشکل اورجت دندان های بیماران مبتلا به این ناهنجاری به کار می رود.
یک وسیله ارتوپدی است که برای جلو آوردن فک افرادی که دندان های جلوی فک بالایی آنها خیلی جلوتر از دندان های جلویی فک پائینشان قرار دارد استفاده می شود.

حال که کاملا می دانیم فانکشنال دندان چیست و با نحوه کار آنها نیز آشنا شدیم، بد نیست به مزایای آن نیز اشاره کنیم. مهمترین مزیت ارتودنسی فانکشنال ثابت، کاهش نیاز به همکاری بیمار در رابطه با گذاشتن مرتب دستگاه می باشد. اما رعایت بهداشت آن به دقت بیشتری لازم دارد. رعایت بهداشت ارتودنسی متحرک فانکشنال ساده تر از دستگاه های ثابت است، اما این دستگاه ها نیاز به همکاری بیشتری از طرف بیمار دارند تا پاسخ درمانی مناسب به دست بیاید.
در ارتودنسی دندان فانکشنال بیمار باید منظم بوده و با دندانپزشک همکاری کند. زیرا در مراحلی از درمان از بریس های متحرک استفاده می شود که اگر بیمار منظم نباشد و طبق دستور از آن استفاده نکند درمان ارتودنسی اثرگذار و موفقیت آمیز نخواهد بود.
اگر می خواهید بدانید که آیا انجام درمان ارتودنسی خانگی امکان پذیر است یا خیر؟ بر روی لینک کلیک کنید.
پلاک دوقلو (Twin Block) یک وسیله فانکشنال غیر ثابت (متحرک) است که غالبا برای رشد بیشتر فک پایین استفاده می شود. این وسیله نوعی براکت قدرتمند برای اصلاح موقعیت و هم راستا کردن فک ها در سن رشد است. پلاک دوقلو از دو پلاک تشکیل شده است، که یکی بالا و یکی پایین روی دندان ها قرار می گیرد، تا مشکل جلوزدگی دندان ها در کودکان را حل کند. برای مثال با کمک این وسیله جلوزدگی (اورجت) ۱۰ میلی متری دندان ها را ظرف شش تا نه ماه می توان به ۴ میلی متر استاندارد رساند.
این وسیله بر اساس مهار قدرت عضلات جویدن عمل می کند؛ بنابراین باید آن را تمام وقت استفاده کنید. با این حال اگر فک خسته شده است می توانید پلاک را مدت کوتاهی در بیاورید.

این وسیله فانکشنال به صورتی طراحی شده است که بتوانید با وجود قرار داشتن آن در دهان، غذا بخورید. اگر این کار در ابتدا برایتان خیلی دشوار است می توانید هنگام غذا خوردن آن را در بیاورید.
دستگاه های فانکنشنال به گونه ای طراحی شده اند، که با قرار گری داخل دهان بیمار با استفاده از قدرت ماهیچه های فک، فک پایین را در موقعیت رو به جلو قرار می دهد و بدین ترتیب بیمار را ترغیب می کنند که فک پایین را جلو بیاورد و همین کار کشش لازم در استخوان های فک را ایجاد می کند و استخوان سازی و رشد فک را تحریک می کند.
هزینه ارتودنسی فانکشنال با توجه به نوع دستگاه ها متفاوت است. برای اطلاع دقیق از قیمت دستگاه های فانکشنال مقاله هزینه ارتودنسی در سال 1402 را از دست ندهید.